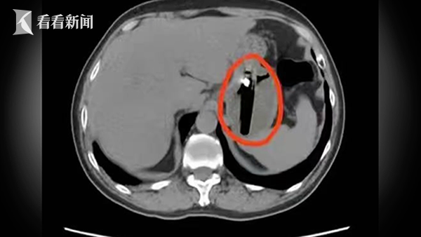
近日,武汉市民陈先生腹部疼痛难忍,长达一个月,以为是老胃病复发,但吃护胃药也不见好,到医院就诊检查才发现胃中竟藏有一个打火机。

据悉,这枚塑料打火机长约8厘米,在陈先生的胃中反复摩擦,引发巨大溃疡,而胃酸持续腐蚀,可能会导致打火机外壳破损,内部可燃气体泄漏会引发中毒,重则爆炸、胃穿孔,甚至危及生命。为避免手术导致打火机二次损伤,医生团队创新采用医用防护套,将打火机完整包裹后取出,术后陈先生回想起一个月前与朋友聚餐宿醉的经历,怀疑是当时误吞了打火机。
年关将至,医生特别提醒,聚餐饮酒要克制,尽量少喝或不喝。
| 编辑: | 周杰 姚婧(实习) |
| 责编: | 姚乐 |

剑网行动举报电话:12318(市文化执法总队)、021-64334547(市版权局)
Copyright ? 2016 Kankanews.com Inc. All Rights Reserved. 看东方(上海)传媒有限公司 版权所有

全部评论
暂无评论,快来发表你的评论吧